تنها انسان زنده بدون قلب دنیا
هیچکس فکرش را هم نمیکرد که «کرگ لوئیس» زنده بماند، چراکه او به بیماری خاصی مبتلا شده بود؛ بیماریای که در نهایت قلبش را از کار انداخت و به این ترتیب دیگر هیچکسی به ادامه زندگی او امیدی نداشت.
همشهری آنلاین: کرگ ناامید نشد و به تلاشش برای زندگی ادامه داد؛ تا جایی که حالا به عنوان تنها انسان زندهای که بدون قلب زندگی میکند شناخته میشود.

این مرد مدتی پیش به بیماری «آمیلویدوسیس» مبتلا شد؛ نوعی بیماری که در آن بدن فرد شروع به ساختن پروتئینهای غیرطبیعی میکند؛ پروتئینهای غیرطبیعی تولید شده در بدن کرگ باعث لخته شدن خون در قلب او شدند. هر روز که میگذشت قلب کرگ بیشتر از کار میافتاد و حتی دستگاه تنظیمکننده ضربان قلب هم جوابگو نبود و نمیتوانست زندگی او را نجات دهد.
نه تنها خانواده کرگ دیگر امیدی به زنده ماندن او نداشتند بلکه کمکم خود او هم داشت باور میکرد که به زودی باید از خانواده و دوستانش خداحافظی کند. اما اتفاق عجیبی برای او افتاد. دو پزشک از انستیتوی قلب تگزاس وقتی از شرایط کرگ خبردار شدند، به او پیشنهاد بسیار شگفتانگیزی دادند تا شاید این مرد بتواند زنده بماند. پیشنهاد دکتر بیلی کوهن و دکتر باد فریزر راهحل بسیار جدیدی بود که اگر کرگ آن را قبول میکرد و همه چیز با موفقیت انجام میشد انقلاب بزرگی در دنیای پزشکی رخ میداد.
این دو پزشک به خانواده کرگ پیشنهاد دادند که با خارج کردن قلبش، وسیلهای در بدن او کار بگذارند که باعث شود خون در بدن کرگ البته بدون هیچگونه ضربانی جریان داشته باشد و به این ترتیب بود که کرگ لوئیس زنده ماند. این اتفاق آنقدر در دنیای پزشکی مهم بود که «جرمی زاگار» مستندساز معروفی که در سال ۲۰۱۰ کاندیدای دریافت دو جایزه «امی» شد فیلمی از دنیای شگفتانگیز نخستین انسان بدون قلب با تمام جزئیات آن ساخته است.
آزمایشهای اولیه
دکتر کوهن و فریزر سالها بود که روی پروژه «گردش دائمی» مشغول به کار بودند. آنها وسیله اختراعی خود را تقریبا روی ۵۰ گوساله امتحان کرده بودند. هربار که این دو پزشک این وسیله را جایگزین قلب گوسالهها میکردند، حیوان روز بعد از عمل جراحی از جایش بلند میشد و مثل اینکه یک قلب طبیعی در بدنش باشد به فعالیتهای همیشگیاش مثل خوردن، خوابیدن و حرکت کردن و دویدن میپرداخت اما با یک تفاوت بزرگ و آن اینکه قلبی در بدن گوسالهها نبود که خون را در بدن جاری کند.
وقتی آزمایشات اولیه این دو پزشک نتیجه موفقیتآمیزی داشت سیل خبرنگاران به سوی آنها سرازیر شدند. دکتر کوهن در گفتوگوهایی که داشت گفت: «اگر گوشی طبی را روی سینه گوساله آزمایش شده بگذارید هیچ صدای ضربان قلبی را نمیشنوید و اگر نوار قلبی از این حیوانات بگیرید فقط یک خط ممتد خواهید دید. با این حال آنها زنده هستند و خون در رگهایشان جریان دارد.»

اولین انسان بدون قلب
بیماری کرگ لوئیس روز به روز حادتر میشد و پزشکان ناراحت از اینکه هیچ کاری از دستشان برای بیمار برنمیآید نگران حال کرگ بودند. به گفته آنها کرگ فقط مدت کوتاهی تا مرگ فاصله داشت. خانوادهاش پیشنهاد دکتر کوهن و فریزر را شنیده بودند و میبایست هر چه زودتر تصمیم میگرفتند تا اینکه بالاخره همسرش این پیشنهاد را پذیرفت و در ماه مارس ۲۰۱۱ اجازه بیرون آوردن قلب همسرش و جایگزین کردن دستگاه موردنظر را به دو پزشک انستیتوی قلب تگزاس داد.
چگونگی کارکرد وسیله جایگزین قلب
وسیلهای که به جای قلب در سینه کرگ کارگذاشته شد شبیه توربینی است که نقش موتورهای چرخش سریع خون را دارد و برای اینکه این وسیله بتواند خون را در بدن به جریان بیندازد مجهز به بخشهایی شبیه به تیغههای پهن است.
البته بیماران دیگری از جمله دیک چنی معاون رئیسجمهور سابق آمریکا هم، وسیلهای شبیه به چیزی که به جای قلب در سینه کرگ کار گذاشته شد دارند با این تفاوت که این وسیله روی یکی از بطنهای آنها کار گذاشته شده و کمک میکند تا قلب ضربان داشته باشد و بتواند خون را در بدن به گردش درآورد.
عمل موفقیتآمیز بود
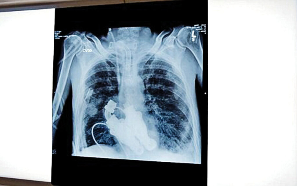
پشت در بسته اتاق عمل، خانواده کرگ نگران و مضطرب به در چشم دوخته بودند تا از نتیجه عمل باخبر شوند. وقتی کوهن و فریزر، از اتاق عمل بیرون آمدند نتیجه را رضایتبخش اعلام کردند اما این تازه یک روی ماجرا بود و حالا باید صبر میکردند تا ببینند که آیا کرگ به هوش خواهد آمدیانه؟ همه چیز بستگی به حال کرگ پس از به هوش آمدن داشت. یک روز از جراحی میگذشت که در کمال ناباوری کرگ به هوش آمد. او نه تنها چشمهایش را باز کرد بلکه با پزشکانی هم که برای معاینه نزد او میآمدند صحبت میکرد.
کرگ در بخش مراقبتهای ویژه بستری بود. هریک از پزشکان به نوبت گوشی طبی را روی سینه کرگ میگذاشتند اما هیچ صدای ضربان قلبی به گوش نمیرسید و تنها صدایی مثل وزوز از سینه کرگ به گوش میرسید. گوشی طبی به لیندا همسر کرگ داده شد. او درباره این لحظه هیجانانگیز و باورنکردنی میگوید: «من با دقت گوش کردم، فقط صدای وزوز میآمد. باورنکردنی بود. او هیچ ضربان قلبی نداشت. چون هیچ قلبی نداشت.»
تبلیغات متنی
-
سند دیدار جفری اپستین و احمدینژاد لو رفت!
-
جنجالی ترین کشف روز! ایرانیان فرمول ویژه رویش مو بدون کاشت را کشف کردند
-
توضیح درباره تراکنش ۵ هزار تومانی خرید کالابرگ
-
حملات هوایی گسترده اسرائیل به جنوب لبنان
-
بابک زنجانی کارزار به راه انداخت
-
سرلشکر موسوی: کوچکترین خطا، دست ما را برای اقدام باز خواهد کرد
-
اتحادیه اروپا: به دنبال باز ماندن کانالهای گفتوگو با ایران هستیم
-
واکنش ایران به اخبار خروج اورانیوم غنیشده از کشور
-
موشکهای عراقی برای مقابله با آمریکا آماده شدند
-
بمب نقلوانتقالاتی سپاهان ترکید
-
انتقال مسی به عربستان قطعی شد!
-
جیب خالی پدربزرگها و عیدی جنجالی دولت!
-
هدف آمریکا از محاصره ایران به چین و روسیه ربط دارد!
-
معماری خیالانگیز یک ویلای نقلی در ماکو
-
هشدار جدی یک جامعهشناس درباره انتخابات شوراها
-
سند دیدار جفری اپستین و احمدینژاد لو رفت!
-
واکنش ایران به اخبار خروج اورانیوم غنیشده از کشور
-
موشکهای عراقی برای مقابله با آمریکا آماده شدند
-
«فارس» دستور هستهای پزشکیان را از کانال خود حذف کرد
-
پهپاد ایرانی به نزدیکترین فاصله با ناو لینکلن رسید
-
چرا حمله به ایران برای ترامپ دشوار است؟
-
هدف احتمالی ترامپ از «محاصره دریایی ایران» فاش شد
-
عراقچی: ۱۸ تا ۲۰ دی ربطی به اعتراضات نداشت
-
گبرلو، حساب پناهی را از فرخنژاد و کرمی جدا کرد
-
کاهش هزار تومانی نرخ دلار در بازار امروز
-
ایران تمام سفرای عضو اتحادیه اروپا را احضار کرد
-
بابک زنجانی کارزار مبارزه با فساد راه انداخت!
-
محدودیتهای ترافیکی آخر هفته اعلام شد
-
هزینه زندگی در ایران، عربستان و امارات یکسان شد!
-
صداوسیما، اهداف ایران در جنگ احتمالی را لو داد
-
ناو هواپیمابر لینکلن دریای عمان را ترک کرد
-
مداح مشهدی شعار «این آخرین نبرده» را اجرا کرد
-
یک افغانستانی صاحب جایزه بدترین خانه سال جهان شد!
-
خشم منوچهر هادی در جشنواره فجر: دیکتاتور هستید!
-
سفارت ایتالیا در تهران تعطیل شد
-
خبر فوری علی لاریجانی در رابطه با آمریکا
-
ورود کاروان نظامی بزرگ آمریکا به عراق
-
رابعه اسکویی از مردم عذرخواهی کرد
-
بازیگران در جشنواره فجر مشکیپوش شدند
-
ادامه اعزام نیرو و تجهیزات نظامی آمریکا به منطقه
-
حضور بازیگر پرحاشیه در جشنواره فجر به چشم آمد
-
اعزام پهپادهای سپاه برای تعقیب آبراهام لینکلن
-
خبر مهم؛ آمریکا در حال تخلیه پایگاه العدید قطر
-
جزئیات طرح جدید افزایش حقوق کارمندان
-
حرکت زشت و زننده مجری شبکه افقِ صداوسیما
بانک اطلاعات مشاغل تهران و کرج
-
سالن های آرایش و زیبایی
-
پزشکان پوست و مو
-
آموزشگاه آشپزی در تهران
-
گالری پوشاک
-
اخذ ویزا
-
کاشت ناخن
-
محصولات پزشکی
-
تدریس خصوصی
-
مزون و شوی لباس
-
اعزام دانشجو
-
خدمات آرایشی و زیبایی
-
خدمات درمانی
-
مدارس
-
طلا و جواهر و زیورآلات
-
صرافی
-
محصولات آرایش و زیبایی
-
خدمات حیوانات خانگی
-
مهد کودک
-
مبلمان
-
سیسمونی و نوزاد
-
مراکز درمانی
-
پت شاپ
-
رستوران و تهیه غذا
-
تعمیرات مبل در تهران
-
خدمات تفریح و سرگرمی
-
پزشکان متخصص
-
باشگاه های ورزشی
-
فست فودهای تهران
-
سرویس خواب
-
موبایل
-
دکتر زنان در تهران
-
فروشگاه ها و لوازم ورزشی
-
کافی شاپ و سفره خانه
-
دکوراسیون داخلی
-
لوازم خانگی
-
دندانپزشکان
-
آموزشگاه ها
-
صنایع غذایی
-
تزیینات داخلی
-
خدمات منزل
-
دندانپزشکی کودک
-
آموزشگاه زبان در تهران
-
تشریفات و موسسه پذیرایی
-
خدمات ساختمان
-
فروش و خدمات خودرو
-
پزشکان زیبایی و لاغری
-
آموزشگاه موسیقی
-
خدمات مجالس
-
قالیشویی در تهران
-
سایر خدمات
-
جراحی بینی و زیبایی
-
آموزشگاه هنری
-
آتلیه عکاسی
-
آژانس مسافرتی و هتل
ارسال نظر