محتوای حمایتشده
بهترین مرکز ایمپلنت دیجیتال دندان کجاست؟ معرفی ۱۰ مرکز برتر
بهترین مرکز ایمپلنت دیجیتال دندان با استفاده از روش ها و تجهیزات جدید، و دریافت هزینه مناسب کار ایمپلنت دندان را انجام می دهد. در این متن لیستی از ۱۰ کلینیک ایمپلنت برتر همراه با آدرس و شماره تماس قرار دارد.
برای کسانی که دندان خود را از دست دادهاند، ایمپلنت دندان قادر است زیبایی لبخند را به آنها بازگرداند. انجام ایمپلنت نزد یک متخصص خوب بسیار مهم است. این متن به شما جهت انتخاب بهترین دکتر کمک میکند. این مطلب صرفا با هدف معرفی بهترین مرکز ایمپلنت دیجیتال نوشته شده است و برای انجام این اقدام زیبایی باید با پزشک متخصص مشورت کنید.

ایمپلنت دیجیتال دندان چیست؟
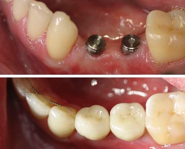
ایمپلنت دیجیتال دندان رویکردی نوین و مبتنی بر فناوریهای دیجیتال در کاشت دندان است که با بهرهگیری از تصویربرداری سهبعدی (CBCT)، اسکن داخل دهانی و نرمافزارهای طراحی جراحی هدایتشده انجام میشود. در این روش، آنالیز دقیق بافت استخوان، موقعیت عصبها و ساختارهای آناتومیک حیاتی، پیش از جراحی و بهصورت سهبعدی شبیهسازی میگردد تا محل، زاویه و عمق قرارگیری فیکسچر با دقت میکرونی تعیین شود. سپس با استفاده از گاید جراحی چاپ سهبعدی، ایمپلنت در موقعیت از پیش طراحیشده قرار میگیرد.

کلینیک دندانپزشکی اوستا
همین حالا تماس بگیرید.
ویژگیهای بهترین مرکز ایمپلنت دیجیتال دندان
بهترین مرکز ایمپلنت دندان در تهران باید ویژگیهای مهمی داشته باشد. اصلیترین ویژگیهای بهترین کلینیک ایمپلنت دیجیتال به شرح زیر است:
دارای بهترین متخصصین ایمپلنت
بهترین مرکز ایمپلنت دندان در تهران جایی است که از دندانپزشکان و برترین متخصصین ایمپلنت برخوردار باشد، متخصصانی که دارای مدرک علمی معتبر و دانش و تجربه کافی هستند.
دارای فضایی آرام برای بیماران
فضای داخلی بهترین مرکز ایمپلنت دندان در تهران باید به گونه ای طراحی شده باشد که راحتی و آرامش بیمار بدور از هر گونه استرسی تامین شود.
دارای فضایی تمیز، پاک و بهداشتی بودن محیط به دور از ویروس و بیماری
تمیزی و بهداشت یک معیار بسیار مهم است تا یک مرکز کاشت ایمپلنت را در دسته بهترینها قرار دهد. چرا که این مورد بسیار مهم مستقیماً به سلامتی مراجعان مربوط میشود.
دارای تجهیزات به روز لازم برای انجام ایمپلنت دیجیتال
روش ایمپلنت دیجیتال دندان نیازمند وجود تجهیزاتی است که کمک میکنند تا کار ایمپلنت به خوبی انجام شود. در صورت ناقص یا تجهیز نبودن ابزارهای مورد نیاز کار ایمپلنت دیجیتال دقیق و کامل انجام نمیشود و به روی نتیجه نهایی نیز تاثیر منفی دارد.
هزینه مناسب
دریافت هزینههای بسیار بالا لزوما نشان دهنده سطح بالای کیفیت خدمات نیست و قیمت پرداختی باید از منطق خاصی پیروی کند.
مهارت و صبر کارکنان
رفتار محترمانه و صبورانه، برخورد صحیح و با آرامش کافی، پاسخگویی سریع و مناسب کارکنان و دیگر موارد از جمله ویژگیهای یک مرکز ایمپلنت دیجیتال دندان خوب است.

بهترین مرکز ایمپلنت دیجیتال دندان + معرفی 10 مرکز برتر
برای پیدا کردن بهترین مرکز ایمپلنت دندان در تهران می توانید لیست زیر را که شامل 10 مرکز برتر ایمپلنت است، مطالعه نمایید:
| نام مرکز | آدرس | تلفن تماس |
|
کلینیک دندانپزشکی اوستا |
میدان توحید، خیابان فرصت شیرازی، پلاک ۱۸۴ | ۰۲۱-۲۲۷۵۶۰۲۰ |
|
مارال ایمپلنت |
سعادت آباد، ضلع شمالغرب چهارراه سرو، ابتدای کوچه نامی، پلاک ۹ |
۰۹۲۰۱۵۹۲۲۶۴ |
|
دندانپزشکی هدایت |
خیابان هاشمی نرسیده به یادگار امام نبش خیابان پارسائیان پلاک ١ درمانگاه دندانپزشکی هدایت |
|
|
دکتر امید شهباززاده |
جردن، خیابان ناصری، پلاک ۴، طبقه هفتم |
۰۲۱-۸۸۸۸۷۰۶۱ |
|
کلینیک آلیما |
تهران، الهیه، خیابان اکبری، کوچه یزدانی، پلاک ۲ |
۰۹۱۲۰۶۶۹۵۸۳ |
|
کلینیک دندانپزشکی و ایمپلنت روشا |
سعادت آباد، سرو غربی، خیابان ریاضی، بخشایش ۱۷ غربی، پلاک ۸۳ ، طبقه اول |
91091002 |
|
مرکز دندانپزشکی و ایمپلنت شادی |
شادمهر، ساختمان پزشکان شادی، پلاک ۵، طبقه اول، واحد ۲ |
66006491 |
|
مرکز دندانپزشکی دنتیما |
سعادت آباد، سرو شرقی، نرسیده به میدان کاج، خیابان بهزاد جنوبی، نبش کوچه دوازدهم، ساختمان ارس، پلاک ۴، واحد ۱۹ |
22095852 |
|
کلینیک دندانپزشکی ستاره شرق |
خیابان مدنی شمالی، نبش خیابان حیدری، سالختمان الوند، پلاک ۱۰۸۶/۲، طبقه سوم |
91093560 |
|
کلینیک دندانپزشکی فروردین |
خیابان امام خمینی، بین پل رودکی و نواب، کوچه خبازان، پلاک ۲ |
66362805 |
|
دکتر محمدرضا دل آرام |
میدان ونک، خیابان ملاصدرا، پلاک ۸، واحد ۴ |
88201670 |
کلینیک دندانپزشکی اوستا- مرکز تهران

اینستاگرام:
Avesta.dental.clinic@
dr.hazratii@
وب
dr hazrati.com
شماره تماس
آدرس: میدان توحید، خیابان فرصت شیرازی، پلاک ۱۸۴
شماره تماس
آدرس: خیابان ولیعصر، بعد از زعفرانیه، روبروی قنادی لادن، کوچه سعدی، پلاک ۲، واحد ۲

مارال ایمپلنت- شمال تهران
کلینیک مارال یک مرکز تمام دیجیتال ایمپلنت و زیبایی دندان است که با ۱۲ سال سابقه یکی از بهترین مراکز در این زمینه به شمار می رود. بکارگیری بهترین متخصصین فک و صورت و پروتز ( رتبههای برتر بورد تخصص کشوری)، استفاده از برندهای معتبر دارای تاییدیه وزارت بهداشت و ارائه ضمانتنامه مادامالعمر از ویژگیهای مارال ایمپلنت است.

آدرس: سعادت آباد، ضلع شمالغرب چهارراه سرو، ابتدای کوچه نامی، پلاک ۹
شماره تماس: ۰۹۲۰۱۵۹۲۲۶۴
دندانپزشکی هدایت
دندانپزشکی هدایت به عنوان یک مرکز تخصصی و پیشرو در ارائه خدمات نوین دهان و دندان، با بهرهگیری از تجهیزات دیجیتال و کادر مجرب، تجربهای متفاوت از درمانهای دندانپزشکی را برای مراجعین رقم میزند. این مجموعه با تمرکز بر دقت بالا در تشخیص و استفاده از متریالهای استاندارد جهانی، طیف گستردهای از خدمات از جمله ایمپلنتهای دیجیتال، اصلاح طرح لبخند و درمانهای تخصصی ریشه را در محیطی کاملاً بهداشتی و آرام ارائه میدهد.

درمانگاه دندانپزشکی هدایت خوشحال است میزبان لبخند شما باشد
برای دیدن نمونهکارها، رزرو نوبت و دریافت مشاوره رایگان، لطفاً روی لینکهای زیر کلیک کنید:
شماره های تماس:
واتساپ:
اینستاگرام:
آدرس:
خیابان هاشمی نرسیده به یادگار امام نبش خیابان پارسائیان پلاک ١ درمانگاه دندانپزشکی هدایت

دکتر امید شهباززاده- شرق تهران
در کلینیک دندانپزشکی دکتر امید شهباززاده میتوانید دندانپزشکی بدون درد و استرس را تجربه کنید. دکتر شهباز زاده متخصص ایمپلنت و جراح لثه و فلوشیب زیبایی از آمریکا است که همگام با آخرین دانش و تکنولوژی روز دنیا کار ایمپلنت دیجیتال را برای مراجعین خود انجام میدهد.

همین حالا تماس بگیرید
اینستاگرام
جردن، خیابان ناصری، پلاک ۴، طبقه هفتم
مرکز تخصصی ایمپلنت تهران- شمال تهران
مرکز تخصصی ایمپلنت تهران در سال ۱۳۹۱ با هدف ارائه درمانهای کاشت دندان و پیوندهای استخوانی مربوط به آن تجهیز و راه اندازی شد. خدمات این مرکز با کیفیت بالا و مطابق با استانداردهای دنیا توسط اساتید دانشگاهی و با کمک بروزترین دانش و تجهیزات ایمپلنتولوژی به مراجعین ارائه میگردد.

تلفن: ۸۸۶۷۷۶۰۳
آدرس: میدان ونک، حد فاصل گاندی و جهانکودک، ساختمان ۶۱، طبقه ۴، واحد ۱۹
کلینیک ایمپلنت و زیبایی دندان مدرن- شرق تهران
در کلینیک مدرن با بهرهگیری از جدیدترین تجهیزات و به روزترین روشهای درمانی لبخندی سالم و زیبا به مراجعین تقدیم میشود. در این کلینیک که به عنوان بهترین مرکز ایمپلنت دندان در تهران شناخته میشود، تیم دندانپزشکی این مرکز متشکل از پزشکان متخصص و باتجربه با دقت و حساسیت بالا، خدمات درمانی و زیبایی را ارائه میدهند. برای مراجعه به بهترین کلینیک ایمپلنت میتوانید کلینیک مدرن را انتخاب کنید.

تلفن: 77908080
آدرس: پایینتر از میدان نبوت (هفت حوض)، خیابان آقایی، پلاک ۲۸، ساختمان کلینیک دندان پزشکی مدرن
کلینیک ایران ایمپلنت- غرب تهران
ایران ایمپلنت اولین و بزرگترین مرکز ایمپلنت دیجیتال در تهران است که در آن بهترین دندانپزشکان مجرب با کمک تکنسینها و دستیاران ماهر و متعهد با استفاده از جدیدترین روشها و تجهیزات خدمات دندانپزشکی از جمله ایمپلنت را ارائه می دهند. در ایران ایمپلنت با بروزترین دستگاه های دنیا و تکنولوژی دیجیتال و هوش مصنوعی خدمات دندانپزشکی ارائه میگردد.

تلفن: 92000912
آدرس: شهرک غرب، رو به روی اریکه ایرانیان، کوچه عباس اناری، ساختمان ۱۰۷ ، طبقه دوم واحد ۸
کلینیک دندانپزشکی آلیما

- ایمپلنت فوری،دیجیتال بدون درد
- توسط جراح و متخصص فک و صورت در کمتر از ۱۰ دقیقه
- بی حسی دیجیتال و بدون درد
- با تکنیک انحصاری AMV
- ایمپلنت اسان و بدون درد
- گارانتی ۱۰ ساله
- هدیه ویژه :مشاوره و ویزیت رایگان
- شرایط پرداخت اقساطی و منعطف
بهترین برندهای اروپایی و کره ایی ایمپلنت
- جایگزین دندان مصنوعی
- اووردنچر ثابت و مادم العمر
- پرداخت اقساطی و منعطف


تلفن:
۰۹۱۲۰۶۶۹۵۸۳
اینستاگرام:
@alima.dental
آدرس:
تهران، الهیه، خیابان اکبری، کوچه یزدانی، پلاک 2
کلینیک دندانپزشکی و ایمپلنت روشا- شمال تهران
کلینیک دندانپزشکی روشا واقع در سعادت آباد انواع خدمات دندانپزشکی تخصصی را برای مراجعین خود به انجام میرساند و در فهرست بهترین مرکز ایمپلنت دندان در تهران قرار دارد. این کلینیک با استفاده از تجهیزات روز دنیا، همکاری با بهترین متخصصین دندانپزشکی و ایمپلنت، و شرایط پرداخت آسان یکی از بهترین مراکز تخصصی ایمپلنت به شمار میرود.

تلفن: 91091002
آدرس: سعادت آباد، سرو غربی، خیابان ریاضی، بخشایش 17 غربی، پلاک 83 ، طبقه اول
مرکز دندانپزشکی و ایمپلنت شادی- مرکز تهران
مرکز دندانپزشکی شادی با کمک تیمی از دنداپزشکان و متخصصین حرفهای، خدمات دندانپزشکی درمانی و زیبایی را با کیفیت بالا به بیماران ارائه میدهد. در این مرکز خدمات پایه و عمومی دندانپزشکی مانند ترمیم دندان، خدمات پروتز دندان، روکش دندان، ایمپلنت و خدمات پاک کردن دندان با استفاده از تجهیزات پیشرفته انجام میشود.

تلفن: 66006491
آدرس: شادمهر، ساختمان پزشکان شادی، پلاک 5، طبقه اول، واحد 2
مرکز دندانپزشکی دنتیما- شمال تهران
در این کلینیک دندانپزشکی با مدیریت دکتر سپهریان، علاوه بر درمانهای عمومی دندانپزشکی، خدمات زیبایی از جمله ایمپلنت دیجیتال، لمینت و طراحی لبخند ارائه میشود. در این مرکز که دارای تجهیزات به روز و تیم دندانپزشکی مجرب است، تمامی خدمات با کیفیت بالا به انجام میرسند. رعایت اصول بهداشتی، از مهم ترین مزیت های این مرکز است.

تلفن: 22095852
آدرس: سعادت آباد، سرو شرقی، نرسیده به میدان کاج، خیابان بهزاد جنوبی، نبش کوچه دوازدهم، ساختمان ارس، پلاک ۴، واحد ۱۹
کلینیک دندانپزشکی ستاره شرق – محدوده شرق تهران
این کلینیک از سال ۱۳۹۰ تاسیس شده و در آن تیم دندانپزشکی بسیار حرفهای و تخصصی به ارائه خدمات درمانی و زیبایی از جمله ایمپلنت مشغول هستند. رویکرد این کلینیک تلفیق علم و هنر و اخلاق پزشکی برای رسیدن به نتیجهای مطلوب و مناسب است.

تلفن: 91093560
آدرس: خیابان مدنی شمالی، نبش خیابان حیدری، سالختمان الوند، پلاک 1086/2، طبقه سوم
کلینیک دندانپزشکی فروردین - محدوده مرکز تهران
بخش ایمپلنت و جراحی لثه این کلینیک دارای جدیدترین امکانات برای انجام ایمپلنت در بالاترین سطح کیفیت است. در این مرکز جمعی از بهترین دندانپزشکان سعی در ارائه خدمات در بالاترین استانداردها دارند. علاوه بر ایمپلنت دیگ خدمات درمانی و زیبایی دندانپزشکی در این کلینیک انجام میشود.

تلفن: 66362805
آدرس: خیابان امام خمینی، بین پل رودکی و نواب، کوچه خبازان، پلاک 2
دکتر محمدرضا دل آرام – محدوده شمال تهران
کلینیک دکتر دل آرام با همکاری متخصصین و اساتید دانشگاهی نزدیک به سه دهه است که خدمات دندانپزشکی را به بیماران و مراجعین، ارائه میدهد. چند سالی است که ایمپلنت دیجیتال نیز به دیگر خدمات این مرکز اضافه شده و با استفاده از جدیدترین تکنولوژیها، تجربهای خوشایند برای افراد رقم میخورد.

تلفن: 88201670
آدرس: میدان ونک، خیابان ملاصدرا، پلاک 8، واحد 4
مزایای ایمپلنت دیجیتال
استفاده از تکنولوژی دیجیتال در فرآیند ایمپلنتگذاری، مزایای قابل توجهی نسبت به روشهای سنتی ارائه میدهد. این مهمترین مزایای ایمپلنت دیجیتال عبارت هستند از:
دقت و برنامهریزی فوقالعاده دقیق
استفاده از CBCT که اطلاعات دقیقی از حجم استخوان، تراکم آن، و موقعیت ساختارهای حیاتی را فراهم میکند و همچنین مدلسازی نرمافزاری که ایمپلنت را قبل از ورود به دهان بیمار، به صورت مجازی و در موقعیت بهینه قرار میدهد، خطای انسانی در حین عمل را به حداقل میرساند.
استفاده از گاید جراحی
در این روش یک گاید سفارشی (یک قالب پلاستیکی دقیق شبیه به محافظ دندان) ساخته میشود. این گاید بر روی دندانهای باقیمانده یا لثه قرار میگیرد تا جراح، ایمپلنت را دقیقاً در محل و زاویه درست قرار دهد.
نتایج زیبایی قابل پیشبینی
با تعیین دقیق موقعیت ایمپلنت، میتوان اطمینان حاصل کرد که روکش نهایی (تاج دندان) در بهترین موقعیت قرار میگیرد تا با لثه و دندانهای مجاور هماهنگی کامل داشته باشد و نتیجه زیبایی نهایی به طور دقیق قابل پیشبینی باشد.
تسریع فرآیند درمان و بهبود تجربه بیمار
به خاطر تهاجم کمتر، بیمار دوره نقاهت کوتاهتری را سپری میکند و میتواند زودتر به فعالیتهای عادی خود بازگردد. در بسیاری از موارد، برنامهریزی دقیق دیجیتال امکان قرار دادن ایمپلنت در استخوان موجود را فراهم میکند.

بهترین مرکز ایمپلنت دیجیتال را چگونه بیابیم؟
با توجه به افزایش محبوبیت این روش، انتخاب بهترین مرکز ایمپلنت دیجیتال اهمیت زیادی دارد. پیدا کردن بهترین مرکز ایمپلنت دیجیتال در تهران از طریق چند راه ساده امکانپذیر است:
مدارک و تخصص پزشکان
اولین نکتهای که باید مورد توجه قرار گیرد، مدارک و تخصص پزشکان حاضر در مرکز است. اطمینان حاصل کنید که پزشکان دارای مدارک معتبر و تجربه کافی در زمینه ایمپلنت دیجیتال هستند.
بررسی تجهیزات و تکنولوژی
بهترین مراکز ایمپلنت دیجیتال از جدیدترین و پیشرفتهترین تجهیزات و تکنولوژیها استفاده میکنند. بررسی امکانات کلینیک میتواند به شما کمک کند تا از کیفیت خدمات ارائه شده مطمئن شوید.
نظرات و تجربیات بیماران
یکی از بهترین راهها برای ارزیابی کیفیت یک مرکز، مطالعه نظرات و تجربیات بیماران قبلی است. با جستجو در اینترنت و یا استفاده از شبکههای اجتماعی میتوانید اطلاعات مفیدی درباره رضایت بیماران و نتایج درمانها بهدست آورید.
خدمات مشاوره و پشتیبانی
مرکز ایمپلنت دیجیتال باید خدمات مشاوره و پشتیبانی خوبی را پیش از و پس از عمل ارائه دهد. پزشکان باید به تمامی سوالات شما پاسخ دهند و شما را در جریان مراحل درمان قرار دهند.
شرایط بهداشتی و محیط مرکز
وجود شرایط بهداشتی مناسب و محیطی آرام و دلنشین در مرکز ایمپلنت دیجیتال اهمیت زیادی دارد. کلینیک باید تحت نظارت بهداشتی بوده و از استانداردهای لازم برای ارائه خدمات برخوردار باشد.
هزینه ایمپلنت دیجیتال چقدر است؟
قیمت ایمپلنت دیجیتال در بهترین مرکز ایمپلنت دندان در تهران به طور میانگین در حدود 10 تا بیش از 20 میلیون تومان است. جهت کاهش هزینههای این جراحی میتوانید از بیمه ( در صورت تحت پوشش بودن ایمپلنت دندان) و همینطور از خدمات ایمپلنت اقساطی استفاده کنید. قیمت بر اساس آخرین بروزرسانی (زمستان 1404) است.
سوالات متداول
ایمپلنت دیجیتال دندان یک روش مناسب در این زمینه است. اگر در ذهنتان سوالی درباره این روش وجود دارد، خواندن این بخش از متن پیشنهاد میشود:
آیا بلافاصله بعد از کشیدن دندان میتوان ایمپلنت دیجیتال گذاشت؟
بله. در صورتیکه فرد از شرایط لازم و کافی (تراکم استخوان فک و همینطور سلامت لثه) در این زمینه برخوردار باشد، میتواند از روش ایمپلنت فوری استفاده کند.
طول عمر ایمپلنت دیجیتال چقدر است؟
طول عمر ایمپلنت دیجیتال با روش ایمپلنت معمولی تفاوت ندارد. در ماندگاری ایمپلنت نحوه نگهداری و جنس ایمپلنتها، میزان تبحر دندانپزشک و مراجعه به بهترین مرکز ایمپلنت دندان در تهران مهم است.
آیا همه افراد کاندید ایمپلنت دیجیتال هستند؟
بله همه افراد با دارا بودن شرایط اولیه انجام ایمپلنت و با مراجعه به بهترین مرکز ایمپلنت دندان در تهران میتوانند از ایمپلنت دیجیتال دندان بهرهمند شوند.

جمع بندی
یافتن بهترین مرکز ایمپلنت دیجیتال نیازمند بررسی دقیق و اطلاعات کامل درباره تخصص پزشکان، تجهیزات، نظرات بیماران و شرایط مرکز است. با توجه به این نکات و تحقیق مناسب، میتوانید به انتخابی مطمئن و آگاهانه دست یابید. انجام این تحقیقات نهتنها به شما کمک میکند تا خدمات باکیفیتتری دریافت کنید، بلکه نسبت به نتایج درمان و احساس رضایتتان نیز اطمینان بیشتری خواهد داد.
ارسال نظر